#donationappeal #helpamber
.
Update: Rs, 9000 have been collected so far. We are looking at atleast Rs 26000 more.
We need 55-60 ppl who can give 500 each. That’s it. It’s probably not even one meal that you spend on at a restaurant. ππ
.
Amber is a sweetheart and has many people looking out for her.
@amit.virmani.96 and I feed her and her family daily.
She’s currently at @petsforcepune waiting for the funds to be collected for her surgery.
We have been told that we shouldn’t wait too long as she most likely is in a lot of pain.
.
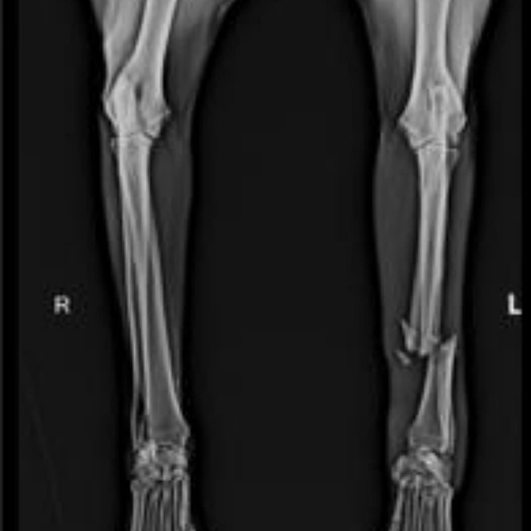
Here is her Xray and she making this appeal from her enclosure in a plaster π
.
Please help us help Amber.
Gpay details:
Tina – 9923334246
.
Thank you in advance. I trust that the universe will help us help her. πβ€οΈβΊοΈ
In gratitude
T.
.
#straydogrescue #straysofinstagram #streetanimalsofindia #straysofpune #instarescue #instacommunitydogs #instaindie #indiesofinsta #indianstreetdogs #rescueismyfavoritebreed #helpamber #donationappeal #straydogsfeeder #straydogrescueandtreatment




