I’m at a loss for words now..there’s no end to the misery they go through.
… Woke up this morning with a call for help for our darling Bandu. She was in a hit and run yesterday and disappeared for the night.
Somehow came back this morning and wasn’t able to walk. We sent her for a check up, xray etc as soon as we could.
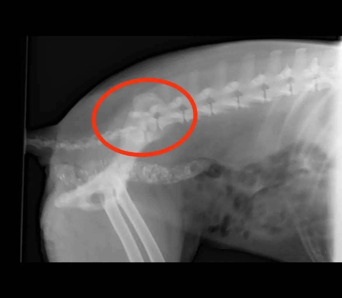
The second slide Is her xray. Major break in the spine.
The third slide is my conversation with the vet ๐
.
It’s a wait and watch situation. Medication for the first three days to manage her pain and cage rest because she isn’t allowed movement. Hoping she’s able to poop and pee , or else, there is little hope ๐
Please help me help Bandu..๐
Gpay on 9923334246.
.
In gratitude
T
.
#rescuedogsofinstagram #straydogsofkharadi #streetdogsofkharadi #straydogs #indiesofinsta #indiandogs #communitydogsifinsta #communitydogsofkharadi #kharadistreeties #karmanyefoundation #helpbandu #helpushelpthem #kharadidogs #indiandogs #rescuedog #rescue




