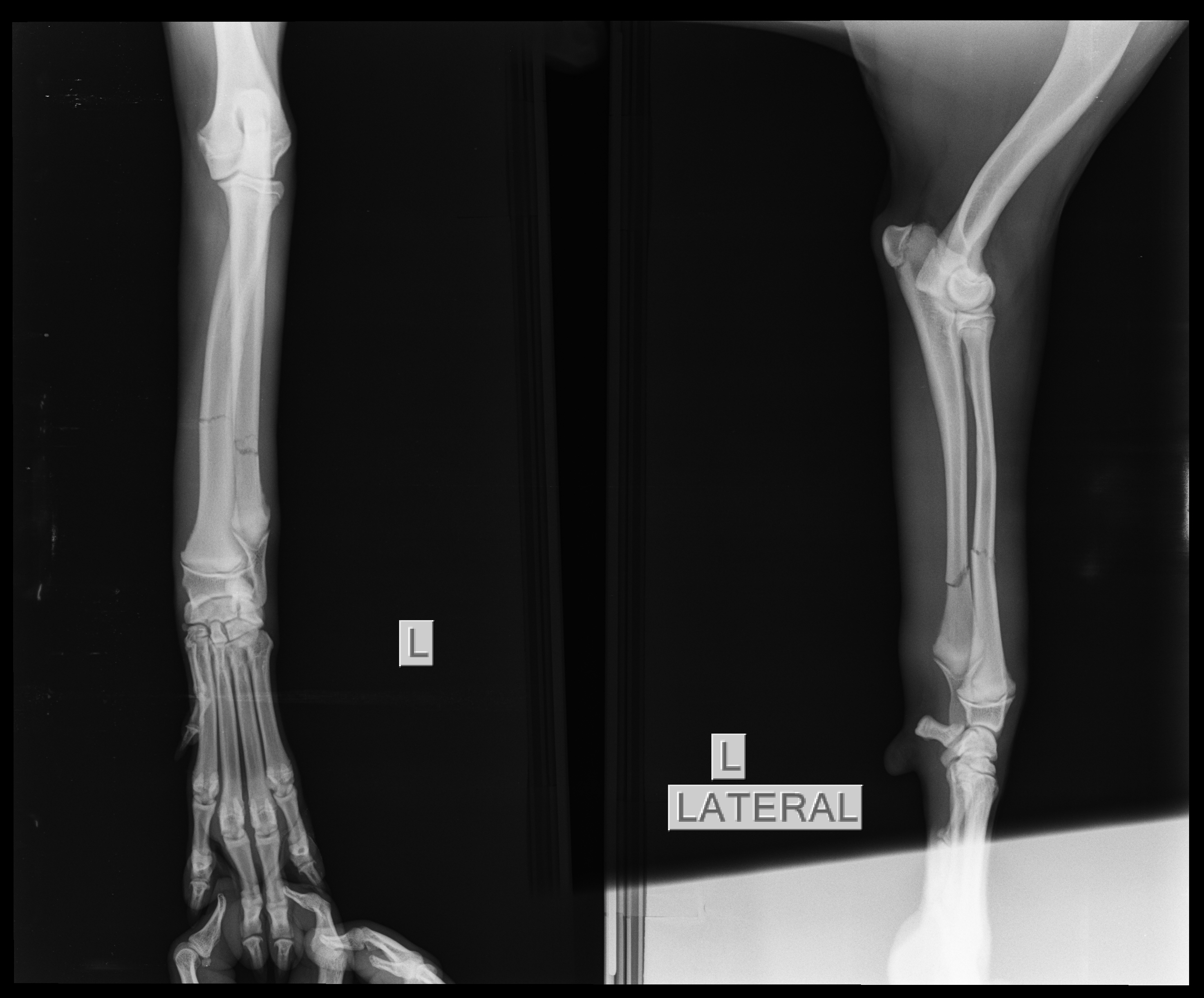
It doesn’t end. Ruku has a fracture.
She’s one of the pups I feed daily and she’s been limping since the few days. I thought with pain killers she will heal as she was otherwise doing all her regular masti.
.
This morning she looked in a lot of pain so I decided to take her to the vet. Got an xray done and she has a proper fracture.
A plaster has been put on her and she’s been moved into foster care.
.
The Hope for paws team, Kharadi has helped with the funds for her vet bill and one week foster upto now.
.
Please keep Ruku in your prayers and send her healing ❤️🙏
.
#straydogrescue #rescuedogs #streetanimalsofindia #straysofinstagram #instacommunitydogs #communityanimals #communitydogs #indiesofinsta #indianbreed
Animal Care, Health Care, Rescue










